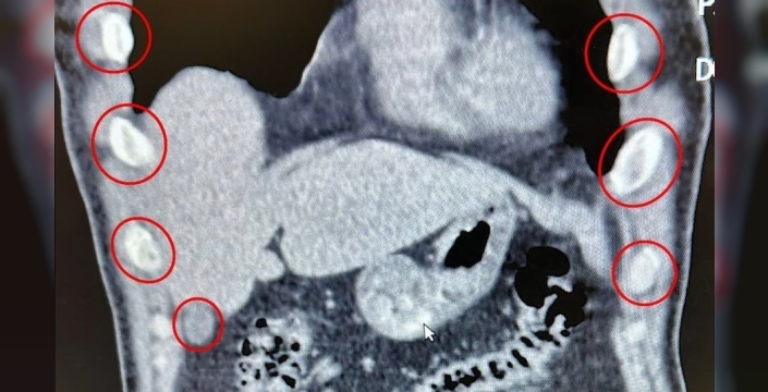
SERHED HABER - Bitlis İl Emniyet Müdürlüğü Narkotik Suçlarla Mücadele Şube Müdürlüğü ekipleri, uyuşturucu ile mücadele kapsamında önemli bir operasyona imza attı. Tatvan ilçesinde durdurulan bir otobüste yolcu olarak seyahat eden yabancı uyruklu 2 kişi gözaltına alındı. Şahısların yapılan tıbbi müdahalesinde, yuttukları 136 kapsül halinde toplam 1 kilo 48 gram metamfetamin ele geçirildi.
Uyuşturucu Madde İmal ve Ticareti suçundan gözaltına alınan zanlılar, çıkarıldıkları adli mercilerce tutuklanarak cezaevine gönderildi.
Emniyet yetkilileri, vatandaşların huzur ve güvenliği için uyuşturucu madde imalatı, kaçakçılığı ve kullanımına karşı mücadelenin kararlılıkla sürdürüleceğini vurguladı.

